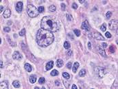
Hodgkin lymphoma - Reed-Sternberg cells

Reed-Sternberg cells are characterized by their unique appearance under a microscope. They are large, multinucleated cells with prominent nucleoli (small structures within the nucleus). 

Reed Sternberg Cell

These cells are derived from B-lymphocytes, a type of white blood cell. They are large, abnormal cells that are typically found in Hodgkin lymphoma, a type of cancer that affects the lymphatic system. 

Hodgkin lymphoma is a type of cancer that originates in the lymphatic system, which is part of the body's immune system. 

 Reed-Sternberg cells are a hallmark feature of Hodgkin lymphoma and their presence is crucial for the diagnosis of the disease. Here are a few more details about Reed-Sternberg cells and Hodgkin lymphoma:

  1. Appearance of Reed-Sternberg Cells: These cells are typically much larger than normal lymphocytes and have a distinctive appearance with two nuclei that give them an "owl's eye" appearance. The nuclei are usually surrounded by a clear halo, which is a zone of less dense staining. This morphology is not seen in any normal cells in the body.

  2. Origin of Reed-Sternberg Cells: While they are derived from B lymphocytes, Reed-Sternberg cells are considered to be neoplastic, meaning they are cancerous and proliferate abnormally. They are thought to originate from pre-apoptotic germinal center B cells that have evaded normal cell death processes.

  3. Role in Hodgkin Lymphoma: Despite their prominence in the pathology of Hodgkin lymphoma, Reed-Sternberg cells are actually quite rare even in the affected tissues. They are surrounded by a reactive infiltrate of other cell types, including non-malignant lymphocytes, eosinophils, and plasma cells, which contribute to the symptoms and progression of the disease.

  4. Subtypes of Hodgkin Lymphoma: There are different subtypes of Hodgkin lymphoma, and Reed-Sternberg cells can vary in appearance depending on the subtype. For example, the nodular sclerosis type often has lacunar Reed-Sternberg cells, which have a particular appearance due to retraction of the cytoplasm around the nuclei during tissue processing.

  5. Diagnosis and Treatment: The diagnosis of Hodgkin lymphoma often involves a biopsy of affected lymphatic tissue, where the presence of Reed-Sternberg cells can be a key diagnostic feature. Treatment typically involves chemotherapy, radiation therapy, and in some cases, stem cell transplantation.

  6. Pathogenesis: The pathogenesis of Hodgkin lymphoma is complex and involves genetic mutations, viral infections (such as Epstein-Barr virus in some cases), and immune evasion mechanisms. Reed-Sternberg cells are known to secrete various cytokines that attract other cell types, which help create a supportive environment for the tumor cells and contribute to symptoms like fever, night sweats, and weight loss.

  7. Prognosis: The prognosis for Hodgkin lymphoma can be quite good, especially when diagnosed and treated early. The presence of Reed-Sternberg cells in the biopsy does not itself determine the prognosis; rather, the stage of the disease, the presence of systemic symptoms, and other factors are used to predict outcomes.

Understanding the biology of Reed-Sternberg cells and their environment has been central to the development of targeted therapies for Hodgkin lymphoma, leading to improved outcomes for many patients.

Please note: The content on this blog is for informational purposes only and is not intended to provide medical diagnoses or treatment. The information shared is based on frequently asked questions and is sourced from reputable scientific studies. 

© 2000-2025 Sieglinde W. Alexander. All writings by Sieglinde W. Alexander have a fife year copy right. Library of Congress Card Number: LCN 00-192742

 

Comments

Popular posts from this blog

Schnitzler Syndrome: A Rare Autoinflammatory Disorder

Acute Flaccid Myelitis (AFM): Understanding the “Polio-like” Illness Affecting the Spinal Cord

Very Long-Chain Fatty Acids (VLCFAs) X-ALD and Spinal Muscular Atrophy (SMA): Exploring the Connection

Dysferlin Protein: Key Roles, Genetic Locations

Toxic Skin Condition Post-mRNA COVID-19 Vaccination

Is ME CFS connected to Spinal Muscular Atrophy (SMA) or Post Polio?

Polio and Post-Polio Syndrome (PPS): Summary and Key Insights

Cytokine Storm, Mast Cell Activation Syndrome (MCAS), Endothelial Dysfunction and microclots/thrombosis?

Introduction to Adenosine and Tachycardia

Impact of Penicillium on Muscle and Lung Function: What Healthcare Professionals Should Know